私、NHKで月に1回放映されている「魔改造の夜」という番組が大好きです。わが国の「ものづくり」を支えている一流企業のエンジニアが、おもちゃやスリッパなどを「魔改造」し、空を飛んだり高速で疾走させたりするなどの過程をドキュメンタリータッチに紹介することで、そのアイディアとテクニックを楽しむ「技術開発エンタメ番組」なんだそうです。登場する会社は「Eプソン(イープソン)」であったり「H立建機(エイチたちけんき)」であったり「Sバル(エスバル)」のように呼ばれています。そっか、NHKでは具体的な会社名は出せないのね、と思いながらも、映像をよく見ると会社の建物の壁やエンジニアの制服の胸の刺繍などに会社名がさりげなく映っていたりします。このあたりがNHKの限界みたいですね。
実は私たちの身の回りで何気なく使っている用語でも、商品名や登録商標であるものが少なからずあります。先日も大学内の書類作成に関する説明で、シヤチハタやフリクションはだめですよ、っていわれたんですが、本当はどっちも商品名ですよね。NHKならシヤチハタは「浸透印(スタンプ印)」、フリクションは「消せるボールペン」と言い換えると思います。そうなんです、文房具は商品名が通称として用いられているものがとくに多い印象です。セロテープ、ホッチキス、マジック、クレパス、セメダイン、ポストイットなどはNHKだと全部ダメです。私、市民講座などで話すときにはある程度気をつけていて、マジックは「サインペン」、セメダインは「ボンド」と言い換えていたのですが、今回調べてみたら、言い換えたあとのサインペンもボンドも商品名みたいでした。げげげ・・・。
前回の記事は私の留学体験記でしたが、英語でも同じようなことがあります。たとえば「コピーする」という動詞はみなさんおなじみゼロックスが由来の「xerox」(あえて一文字目のxは小文字)、なんて感じです。そして医学用語にも、実は商品名ですよ、ってのがあるんです。今回はそちらを紹介させていただきます。
感染症にまつわる「商品名が由来の医学用語」
インクを用いた染色法
微生物関連で有名なのは「パーカーブルーブラックインク法」ってやつです。私も性感染症の授業、梅毒のところで説明しています。ここでいう「パーカー」は万年筆など筆記具・インクを販売する有名ブランドを指します。
梅毒の原因菌であるTreponema pallidum subsp. pallidum,すなわち梅毒トレポネーマについては連載第4回で紹介しましたね。この菌、人工培地では培養できないんです。そのため梅毒の診断には血清学的な診断法(血液検査)が重要ですが、第1期梅毒の症状である硬性下疳(陰部の潰瘍)が出てくるのは約3週間の潜伏期のあと、しかし梅毒血清反応が陽転するのもだいたい3週間くらいかかります。つまり、ごく早期の梅毒だと血清反応では見落とす可能性があるんですね。そこで患部の滲出液を直接顕微鏡で見る方法が重要になります。
梅毒トレポネーマは特徴的な形態をした「らせん菌」(図1)で、墨汁や万年筆のインクなどと混ぜてスライドグラスに塗抹すると、菌そのものは染色されないけれどバックグラウンドが暗くなってらせん菌が白く浮かび上がってくる「陰性染色(ネガティブ染色)」ができます。文房具店で墨汁のボトルを買ってきてもいいんですが(墨汁染色法、あるいはインディアン・インク法とも呼ばれる)、おそらく昔の外来診察室の机には万年筆用のインクのボトル(図2)がよく置いてあったんでしょう。そのインクの名称がついているのでした。
梅毒トレポネーマのネガティブ染色ではどんなインクでも使うことができるんですが、この「パーカーブルーブラックインク」でないとだめ、という臨床検査もあります。真菌の検査法です。皮膚の糸状菌(いわゆる「みずむし」などの原因菌)の検査で、水酸化カリウム(KOH)とこのインクを混ぜて染色する「KOH-パーカーブルーブラックインク法」って呼ばれる方法があります。普通のKOH法だと糸状菌は無色なので見つけにくいのですが、このインクを混ぜると菌糸がキレイに青色に染まるんだそうです。
ただこの方法、いつのころからかインクの組成が変わってしまって、現在発売されているインクではうまく染まらないんだそうで・・・。そりゃ、もともとは文房具ですからね、本来の使い方のために予告なく改良されることは当然、ありえますよね。困った皮膚科の先生がいろいろと試したようで、同じパーカーでも「ブルーブラックインク」ではなく、「ブラックインク」ならまだ染められるぞ、という先生もいらっしゃいます(2008年時点)1)。図3は、このインクの代わりにトリパンブルーをKOHに混ぜてみた改良法による観察結果です。
「静脈留置針」のこと、なんと呼ぶ?
さて、私も所属している感染対策室では針刺し事故対策もやっていますが、最近は「針刺し事故防止装置付き」の注射針というのも出てきました。私が若いころ、針刺しをやっちゃったときは「翼状針(翼付静注針、翼静針とも)」と、静脈留置針の「内針」が原因でした。最近はどちらも使用後に針が引っ込んだり、針先にカバーが自動的についたりする機構が搭載されています。静脈留置針は、外筒と内針からできているもので、外筒は柔らかい素材でできていて、これだけを静脈に留置することで安全に持続点滴ができるようになっているんですが、柔らかいと刺せないので金属製の内針といっしょになっていて、静脈に入ったあと内針だけを抜き取るようになってるんです。図4はテルモ社の「シュアシールド サーフローⅡ」っていう静脈留置針ですが、この「抜いた内針」をすぐに針捨てボックスに入れないと、私のように針刺し事故を起こしてしまうんです。写真で分かるように、この製品では内針を抜くと針先にカバーが自動的に付くようになっています。他社製品ではボタンを押すと引っ込むようなものもあります。
そうそう、本題に戻りますと、この「静脈留置針」、現場では「サーフロー」って言ってました。まさにこれも商品名ですよね。私、講演会とかでは商品名はまずいと思って「エラスター針」って言い換えていましたが、なんとこっちも別の会社の商品名のようです。うむむう・・・。
その他、感染症にまつわるものいろいろ
第16回の連載でいろいろな消毒・滅菌法を紹介しましたが、そのなかで少しだけ「オートクレーブ」について触れました。この「オートクレーブ」という用語も、もともとは機械の商品名だというのをどこかで聞いたことがあったので、今回しっかりと調べてみました。インターネット辞書であるMerriam-Webster.com Dictionaryによると2)、フランス人の政治家、教育者であり発明家でもあったPierre Alexandre Lemare (1766-1835)がその特許文書の中で初めて「autoclave」という用語を使った、と書かれていました。ということは、オートクレーブという単語そのものは商品名ではなく、Lemare先生の造語だったようですね。autoは自動で、claveはラテン語でkeyを意味するclavisがその由来なので、おそらく(内圧で)自動でロックする圧力調理器を意味したかったんだろう、というのがこの辞書の記述でした。ふうむう。
また、ぎりぎり感染症関連としてのこじつけですが、こんなのはいかがでしょう。傷口に貼る絆創膏(ばんそうこう)、みなさんはなんて呼んでますか。これは地域差もあるみたいですね。私の実家では「バンドエイド」って呼んでましたが、医者になってから働いていた救急病院では、実際に使っているものの商品名で「カットバン」と呼んでいましたね。たしか小学校の保健室では「サビオ」って言ってたし、熊本の人は「リバテープ」って言うんだよ、というのもどっかで聞いたことがあります。これ、今でも「サビオ」を製造販売している阿蘇製薬さんのサイトに「ばんそうこうの呼び方マップ」3)が掲載されていますよ。
感染症領域以外にもたくさん! 「商品名が由来の医学用語」
ちょっと感染症領域だけでは苦しくなってきたので、医学用語全般で商品名が一般化した用語について考えてみました。
若かりしとろろが習ったもの
私が学生のときに習ったものでは「ベルクロ・ラ音」というのがあります。これ、おそらく現在ではfine craclesと呼ばれているかと思います。間質性肺炎などが原因で肺が硬くなったときに、息を吸った最後のあたりで「ベリベリ」というような音が聴診器で聞こえることがあります。これがベルクロ®、つまり血圧計のマンシェット(腕帯)に使われている「マジックテープ」を剥がすときの音に似ているので、米国では「ベルクロ」ラ音と呼ばれたんですね。日本なら「マジックテープ・ラ音」でしょうね。あわわ、マジックテープも商品名かあ・・・。NHKなら「面ファスナー・ラ音」と言わないといけないかも。
そうそう、学生時代の私はとにかくマニアックな国試問題が大好きで、月刊医師国試対策「KOKUTAI」っていう雑誌を定期購読していました。周りにはいませんでしたよ。懐かしいなあ(ありゃ、国立国会図書館データベースで確認すると2016年に休刊になってるようでした)・・・。
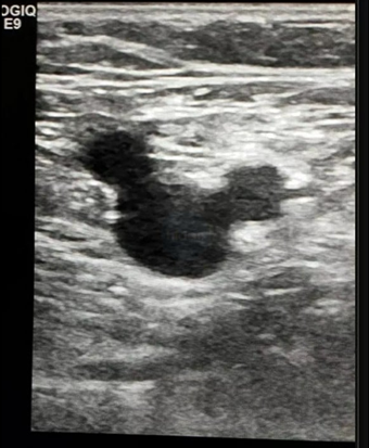
その雑誌にはX線写真やエコー像でマニアックな名前がついているものがコラムとして毎号連載されていたんです。今でも覚えているのが「ミッキーマウスサイン」ってやつで、肝臓のエコーで脈管が3つ、門脈と総胆管と肝静脈がちょうどミッキーマウスの顔と耳のように並んでいることから名付けられたようです。これも商品名といえるでしょうか。
ところがこれ、大腿部のエコーでも同じ名前の画像所見があるようです。こちらは図5のような感じで、総大腿動脈(common femoral artery)、総大腿静脈(common femoral vein)と大伏在静脈(great saphenous vein)の3つ、と書かれていますね。ディズニーさんは著作権にたいへん厳しくて、マルを3つ重ねてそれらしくなってしまっただけでも「アウト!」っていうような都市伝説を聞いたことがあるんですが、この画像、大丈夫でしょうか。自然現象(?)ですもんね、いけますよね。
「アリナミン」が嗅覚検査に役立つ?
検査法としては「アリナミンテスト」なんていうのもあります。ビタミンB1の前駆体であるフルスルチアミン製剤が「アリナミン®」でして、テレビで宣伝しているのはそれを配合した錠剤やドリンク剤なのですが、実は注射薬もあります。これ、俗に「ニンニク注射」なんて呼ばれているやつで、点滴すると鼻でニンニクのような臭いを感じます。これが嗅覚の試験になるんです。鼻づまりなど末梢側の原因での嗅覚異常であれば、嗅神経や嗅覚受容体は問題ないので、静脈から投与されたアリナミンの臭いを感じることができますが、嗅神経や嗅覚受容体そのものに異常があるとその臭いが感じられなくなるわけなので、鑑別ができるんです。
そういや、検査法の商品名としてはこの他に、尿試験紙の「テステープ」なんかもありますね。その名前がついたオリジナル製品はもう発売されていないようですので、ますます「一般名詞化」されていくかもしれません。
よくあるセット処方が「医学用語」に?
最後に、純粋な商品名由来の医学用語ではないのですが、「オグサワ」というのがあります。「オグシオ」さんや「りくりゅう」さんのお友だちではありませんよ。これは抗菌薬であるオーグメンチン®(クラブラン酸・アモキシシリン)とサワシリン®(アモキシシリン)を同時に処方することを指します。どちらも商品名です。
実はオーグメンチン®はペニシリン系抗菌薬である「アモキシシリン」と、細菌が出す、抗菌薬を分解する酵素「βラクタマーゼ」を阻害する物質である「クラブラン酸」の配合剤なんです。オーグメンチン®にはクラブラン酸とアモキシシリンが1:2で配合されているんですが、抗菌薬の投与量をもっと増やしたい場合があります。ところがオーグメンチン®の用量を増やすと、クラブラン酸の副作用である消化器症状が出てくるおそれがあるので、単剤でアモキシシリンだけが含まれているサワシリン®を同時に処方して、抗菌薬の割合を増やそうという考えで処方するものです。ただこれをやるとアモキシシリンの通常の用量を超えますので、カルテにはしっかりとその理由を書いておく必要があります。
ちなみに、同じような理由で製薬メーカーがちゃんと改良してくれたお薬に「ゾシン®」があります。これ、もともとは「タゾシン®」という商品名で、βラクタマーゼ阻害薬である「タゾバクタム」と、ペニシリン系抗菌薬である「ピペラシリン」が1:4で配合されたものが発売されていたのですが、ピペラシリンの力価をもっと上げたいということで、抗菌薬の比率を1:8まで上げた「ゾシン®」が開発されたのでした。現在では後発薬も出ていて、「タゾピペ」と呼ばれています。

このコラム、本来は微生物・感染症の豆知識(?)なんですが、今回は最初と最後を感染症で挟み込んでいまして、まあギリギリセーフにしていただきたいのです。当たり前のように使っているモノの名前で、実は商品名ってのはまだまだありますよ。デジカメもそうで、写メだってそうです。あれ、写メはもう、死語でしょうか・・・。
1)帖佐宣昭、江良幸三:従来の「パーカーブルーブラックインク」に代わる「パーカーブラックインク」・KOH法.臨床皮膚科62 (5) 132-134,医学書院,2008
2)Merriam-Webster.com Dictionary:Autoclave,〔https://www.merriam-webster.com/dictionary/autoclave〕(最終確認:2026年3月11日)
3)阿蘇製薬:ばんそうこうの呼び方マップ,〔https://www.aso-pharm.co.jp/map/〕(最終確認:2026年3月11日)



_1685342416837.png)

」サムネイル2(画像小)_1655700691661.png)