私、1991年から92年にかけて、アメリカに留学しておりました。二十代だからこそできる「珍道中」の連続でした。帰ってきてすぐ、これから留学される方と情報共有して私と同じ失敗を繰り返さないでもらおうと、「留学体験記」を書こうと思っていたのですが、帰国後のバタバタもあって完全に忘れてしまっておりました。それがまあ、30年以上も経てから改めて書くというのもなんですよねえ。あまりに昔の話で、これから留学される方には参考にならないでしょうから、笑い話として読んでいただく方がいいかもしれません。
旅立ちの前にもひと騒動
当教室ではUCLA(カリフォルニア大学ロサンゼルス校、図1)に留学先があって、若手の先生が順番に留学しておりました。留学先の研究室は日系アメリカ人のDavid T. Imagawa教授が主宰する小児感染症学教室で、当教室の、私の前の教授であった先生が留学先として開拓されたところでした。当時は助手だったその先生は、私の研究指導をしてくださっていたので、留学時のお話をよく聞いていました。そんな中、当時あちらに行っている先生がそろそろ帰国するということで、私にもお鉢が回ってきたのです。
ちなみに留学中は何度もキャンパスに行ったのですが、「UCLA」って書いてある看板がある「正門」というものがなくって、写真を撮る場所に困っていました。有名なのは図1の左上にちょろっと写っているRoyce Hall(図2)です。
UCLAといえばこれ、という建物です。
そのころ私は大学院の2回生だったんですが、朝になるとしんどくなる症状に悩まされていました。朝起きると体がだるくて、実際に熱も上がるんですが、昼頃になると熱が下がってきて、まあ大学には行けるくらいまで戻るので、遅刻して大学に行きます。ところが翌朝になるとまた熱が上がるので「今日も休みます」なんて電話を大学にかけることになります。なんだか朝起きられなくて大学をサボってるような感じになってきました。
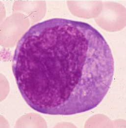
そこでこっそり、バイト先の病院で自分の血液を検査に出してみました。そしたら「異型リンパ球(+)」なんて結果が返ってきたので驚きました。そうです、もちろんこのコラムを読んでおられる方でしたらピンとくるでしょうが、当時の私はヤブ医者の典型でして、全身のリンパ節腫脹も出てきたこともあって、こりゃ自分は「白血病」になったんだと思い込んでおりました。さすがに職場に黙っていてはダメだと思い、大学で自分の血液を精密検査に出しました。
ちょうどそのころ、私の研究指導をしてくださっていた当時助手の先生、さきほど出てきた現在の「前教授」(変な呼び方ですが)、その先生から「留学する?」と誘われたのです。ああ、白血病で死ぬ前のご褒美として留学させてくれるんだな、なんて思っていたのですが、その先生とトイレで並んでおしっこをしながら、先生から「子どもの病気やでえ」と、病名を伝えられました。
この光景、今でも覚えてるんです。そうです、熱が出て異型リンパ球(図3)が出る病気、つまりEBウイルスによる「伝染性単核球症」なのでした。なあんだ、という感じですが、熱はその後も1ヵ月くらい続きまして、けっこうしんどかったですよ。肝脾腫も出ましたし、血液検査では肝機能の数値がそこそこ上がり、さらに貧血もありました。EBウイルスには今でも抗ウイルス薬がありませんし、ちょうどその当時「慢性活動性EBウイルス感染症*1」という病態があることが発見されたところで、治らずそのまま慢性化してしまう可能性もあると考えると、けっこう不安だったんです。ところで、この病気自体は留学体験記と直接の関係はないのですが、実は留学してから私、実際に白血病の患者さんと接することになります。このお話はまたいつか。
見ようによっては白血病細胞のようです。
人生初の国際線でアメリカへ
幸い、この伝染性単核球症は無事に治癒しまして、アメリカへの出発が1月と決まったのですが、私、何とかなるだろうと思い、とくに英会話を勉強することもなく、まあ準備といえばJ-1ビザを取りに梅田新道(大阪市北区)のアメリカ領事館に行ったくらいで、そのまま出発の日を迎えました。当初、先方のお迎えの関係で1月15日(当時は「成人の日」で祝日でした)に出発の予定でしたが、こちらの教室員の方々のお見送りの関係で1月16日に変更になりました。
当時はまだ関空(関西国際空港)ができておらず、伊丹が国際空港でした。いざ留学となると、教室のみなさんがお見送りに空港まで来てくださるというのが慣例だったんです。両親も来てくれたんじゃなかったかなあ。ほんと「人生の一大事」という感じで、壮大にお見送りしていただきました。ありがたいことです。ただ、出発の日はたしか火曜日で、伊丹からロサンゼルス行きのノースウエスト航空(当時、現在はデルタ航空に合併)は火曜日だけ直行便がなく、サンフランシスコで国内線に乗り換えなければなりません。それだけが若干不安だったんです。そしてその不安は的中することになります・・・。
私を研究指導してくださっていた例の先生が、初めての国際線だったら自分でお金を貯めてビジネスクラスで行ったらいいよ、ということで、臨時の当直のバイトを紹介してくださいまして、しっかりお金を貯めてビジネスクラスに搭乗です。そりゃもう快適で、上々の滑り出しです。せっかくだから機内でお酒でも頼もう、というわけで、「バーボンwithソーダ、please」と意気揚々お願いしてみましたが、「???」「バーボン!」「???」これを3回繰り返したものの結局通じず、「ジャックダニエルwithソーダ、please」でやっとこさ通じました。この瞬間、ああ、これから自分は「異国の地」で「ひとりぼっち」なんだと思うと、急に「ゾゾー」っという、不安と恐怖の効果音がアタマに鳴り響いたのです。
いやまあその後、英語がある程度喋れるようになってからですが、「bourbon」(アメリカのウイスキー)の発音はかなり「上級編」なことに気づくんですけどねえ・・・。この単語、カタカナで書くと「ブォゥワボォゥーン」ってな感じで発音しないと通じません。いきなりは絶対無理なんですが、そのときは全然、分かりませんし・・・。
緊張感たっぷりの国内線乗り換え
伊丹からサンフランシスコの太平洋上で、まずは自分の英会話力のなさに打ちのめされた私は、機内で一睡もできずサンフランシスコ国際空港に降り立ちます。そこでロサンゼルス行きの国内線に乗り換えです。空港の係員が早口でがなり立てながら乗客を誘導しており、みんなそっちに向かっていて、私にもなんだか早口でガーガー話しかけてきます。とりあえず怪しい誘いに乗ってはいけないと思い、ひたすら「No!」「No!」と繰り返していたら、なんだこいつは?という不思議そうな目で睨まれ、あきれたような表情をしながら離れてくれました。ふう、やっと諦めてくれた、と。気づいたら周りに誰もいなくなっていました。
サンフランシスコ国際空港の国際線ターミナルと国内線ターミナルはかなり離れていて、さらに国内線ターミナルは航空会社ごとに独立していて複数あり、それらがぐるっと円周状の道で結ばれています。ターミナル間をシャトルバスが走っているのは知っていたのですが(今はAir Trainっていう電車が走ってるみたいです)、バスに乗って降り損なったら大変と、当時10 kg近くあった「ラップトップコンピューター」(ノートパソコンじゃないですよ、もっと大きいヤツ)の手荷物を肩に掛けて引きずるようにその円周状の道を歩いて、やっとこさ目的の国内線ターミナルにたどり着きました。
そこでやっと気づいたのですが、どうやら国際線が時間よりかなり早く到着していたようです。そこでさっきの空港の係員は、ロサンゼルス行きの「前の便」に乗り換えられるよと乗客を誘導してくれていたみたいでした。サンフランシスコ・ロサンゼルス便は各社1時間に何本も、それこそシャトルバスみたいな頻度で飛んでるので、早い便に乗れるよ、って親切に言ってくれているのに、それを頑なに「No! No!」と拒み続けていたんでしょうね、そりゃ変な客だったと思います。そうはいってもロサンゼルス空港にはお迎えの方が来てくれることになっていましたので、早い便に乗れたとしても今度はロサンゼルス空港で待たないといけなかったのですが・・・。
さあ、国内線のターミナルにやっと着いたのですが、自分が予約した便までまだかなり時間があります。自分の便名が放送されるのを聞き逃してはいけません。大切なラップトップコンピューターを盗られないようにしっかりと胸に抱えながら、とにかく耳を「ダンボ」にして、空港内の放送すべてに聞き耳を立てて座っていました。ところがこの館内放送、とにかく数字を連呼するんで、一刻も気が抜けません。これも実は後になって気づくんですが、当時の空港って、「Mr. Brown, page 123. Mr. Brown, page 123」っていう放送がひっきりなりに流れていたんです。pageってのは「内線電話」のことで、つまり館内放送は「ブラウンさん、内線123番まで」っていう「業務連絡」が大半だったんです。それを知らずに「123便?まだ違うな。次か!?」って、ずっと緊張していたわけです。もう、ホントに疲れました。そして長い時間でした・・・。
到着したら、アメリカが「戦争当事国」に…
さて、やっとロサンゼルス空港行きの国内線に乗れました。座席は「1A」。国際線がビジネスクラスだったので乗り換え便の国内線もビジネスクラスだったんです。CAさん(当時は別の名前で呼ばれてましたね)の好奇の目に晒されながら(そりゃそうでしょう、アジア人は若く見られますから、おそらく二十歳前後に見える若者が一人で、所要1時間もかからない国内線でビジネスクラスに乗ってるんですから)、でもフルサービスですから、また食事が出てきます。いやもう、お腹いっぱいですってばあ・・・。でもそれも言えないんだよなあ、言っても通じないだろうし・・・。
空港に着きましたら、Imagawa先生が直接お迎えに来てくださっていました。当時のアメリカの国内線ターミナルって、飛行機のすぐそばまでお見送り、お出迎えができたんですよ*2。だから飛行機から降りて空港内で迷うこともなく、すぐ助けてくださったのでありがたかったです。先生のクルマに荷物を積んで、ロサンゼルスのフリーウェイを走りながら、先生は「日本では湾岸戦争が始まると思ってるの?」と英語で話してこられました。そうなんです、ちょうどイラクがクウェートに侵攻したときに私、アメリカに行ったのです。さて、どう答えたらいいのか分からず、知ってる単語でとりあえず「fifty-fifty」(五分五分)と答えました。そしたら「Japanese are so optimistic!」っておっしゃいました。日本人は楽観的だねえ、と。そうなんです、なんとその翌日(1991年1月17日)、アメリカはイラクを攻撃し、湾岸戦争(Gulf War)が始まったのでした。私は「戦争当事国」にやってきたんだ、と思いましたねえ・・・。

あわわ、留学体験記をお話ししようと思ったのですが、やっとこさアメリカに着いたところで紙幅が尽きてしまいました。とりあえず「アメリカ上陸編」はここまで。この続きはまた、いつかお話ししますね。




」サムネイル2(画像小)_1655700691661.png)
